MRI(磁共振成像的缩写)机器使用高功率磁铁来创建极其详细的身体图像。强大的主磁体产生的磁场甚至比地球发出的磁场还要强。强烈的磁场使我们体内丰富的氢原子沿着磁场的边缘均匀排列。然后,较小的梯度磁体以外科手术般的精度产生脉动磁场,从而分散氢原子并导致它们向不同方向旋转。当主磁场将氢原子拉回均匀形态时,它们的运动和交替旋转方向会释放能量,称为共振,可以借助射频将其转化为图像。
MRI 机器是管状的,有一个足够大的开口,可以让人放进去。由磁场解释的图像非常容易受到运动引起的失真的影响。作为一个因此,在扫描过程中,患者必须尽可能保持完全静止。对于某些人来说,这可能非常困难和不舒服,因为完成扫描过程可能需要一个小时或更长时间。由于各种磁铁的旋转,这个过程也相当大声。为了帮助患者打发时间而不会听到可怕的沉闷声,医生通常允许患者佩戴耳机来听音乐。
医疗专业人员使用 MRI 机器来诊断内部疾病。
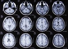
大脑 MRI 扫描。一些 MRI 扫描仪使用相同的功能一组用于超导磁体的带电线圈和电线,但没有液氦来保持冷却。以这种方式使用,线圈和电线会产生电阻磁体,而不是超导磁体。如果没有液氦的冷却作用,超导性就无法实现;相反,使用更强大的电流来产生稍弱但仍然有效的磁场。另一种可用于 MRI 扫描的初级磁体是永磁体。永磁体实际上是巨大的磁铁,不断地发出磁力ff 磁场。由于其尺寸和重量,它们不是 MRI 机器中最受欢迎的磁铁类型。
MRI 机器。梯度磁铁能够完全旋转一个人的身体。梯度磁铁发出的较小磁场能够以惊人的精度和清晰度查明需要扫描的身体部位。这些磁铁与发射射频的线圈和电线配合工作,射频也会影响氢原子,从而能够收集身体各个部位的详细读数。这种磁场和射频的结合使专家能够从任何角度扫描人体的"切片",从而以无与伦比的方式了解身体内部的情况。
MRI 机器使用磁场和无线电虽然 MRI 扫描在很多方面优于其他扫描方法,但对于检测大多数损伤来说,操作 MRI 机器的繁琐操作并不是真正必要的. 例如,骨折通常在 X 光检查中显示得相当清楚,操作起来要省力得多,成本也低。然而,X 光检查不能很好地显示软组织图像。对于那些,MRI机器是最受欢迎的图像扫描方法之一。
脑部 MRI 对研究人员和医生都很重要。MRI 机器能够提供详细的信息法师身体任何地方的软组织。这使得它们成为检测脑出血、乳腺癌和韧带损伤等软组织疾病的理想选择。 MRI 机器的另一个优点是它们不会发出任何辐射。虽然 X 射线等扫描方法产生的辐射尚未被证明有害,但患者知道自己不会暴露于任何辐射下,这通常能让患者安心一些。
MRI 技术人员经常观察由于 MRI 机器会产生强大的磁场,因此必须在密切监督下小心操作,并且必须采取某些预防措施以防止受伤。接受核磁共振扫描的患者身上不得携带任何金属物品,并且必须透露自己是否曾经携带过任何金属物品通过手术将IC物体插入他们的体内。即使是装有 MRI 机器的房间,在机器使用时也必须没有松动的金属物体,因为众所周知,磁场会从相当大的半径内拉动物体。







